15 Anos de Atuação
Profissionais Especializados

Nosso serviço

Profissionais especializados

O que mais presamos é o atendimento personalizado, equipamentos de alta qualidade e pessoal especialmente treinado sempre fizeram parte da nossa trajetória e, assim, podemos resumir nossa filosofia em uma só palavra: profissionalismo. Análises Clínicas, Papanicolaou, Citopatologia, Saúde da Mulher, Citologia Diagnóstica, Biópsias e Imuno-histoquímica, Exame Preventivo do Câncer de Colo do Útero, Exames de Biologia Molecular, Teste de Paternidade & Exames Toxicológicos.

Lacio Laboratório

Serviços que oferecemos

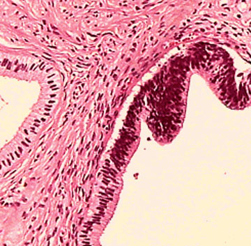
Exame Preventivo
Visão Microscópca

Exame Preventivo do Câncer do Colo Uterino

O câncer do colo do útero, também chamado de câncer cervical, é causado pela infecção persistente por alguns tipos do Papilomavírus Humano - HPV (chamados de tipos oncogênicos). A infecção genital por esse vírus é muito frequente e na maioria das vezes não causa doença. Em alguns casos, ocorrem alterações celulares que podem evoluir para o câncer. Essas alterações são descobertas facilmente no exame preventivo (conhecido também como Papanicolau), e são curáveis na quase totalidade dos casos. Por isso, é importante a realização periódica do exame preventivo. Excetuando-se o câncer de pele não melanoma, é o terceiro tumor maligno mais frequente na população feminina (atrás do câncer de mama e do colorretal), e a quarta causa de morte de mulheres por câncer no Brasil.

Exame Citologia
Visão Microscópca

Exame de Citologia Oncótica

O exame de citologia oncótica conhecido também por exame preventivo do colo do útero, Papanicolau ou PapTest, é, no Brasil, a principal estratégia escolhida para o rastreamento precoce do câncer de colo de útero e doenças sexualmente transmissíveis. Existem hoje em dia muitos fatores associados ao câncer de colo de útero: • fatores como o início precoce da atividade sexual; • a contaminação por HPV; • o uso prolongado de anticoncepcionais orais. Por isso a prevenção é a melhor escolha para a saúde, esta prevenção se dá pelo exame simples que é realizado em consultório médico e pode ser realizado por médico ou por enfermeiro. O exame consiste na coleta de material do colo do útero, é simples e normalmente não dói. Para ser realizado é necessário que a mulher não tenha tido relações sexuais, nem ter usado duchas e medicações nas últimas 48 horas, além disso, ela não pode estar menstruada. Este exame deve ser realizado por toda mulher que já teve sua primeira relação sexual, anualmente e a cada dois resultados normais.

Exame Citopatológico
Visão Microscópca

Exame Citopatológico

Também chamado de citologia especial ou exame de líquidos. Compreende a análise das células presentes nos fluidos e secreções orgânicas, como urina, escarro, líquido pleural, líquido ascítico, lavado broncoalveolar, líquor entre outros, proporcionando informes valiosos para confirmar ou afastar o diagnóstico de determinadas doenças. Utilizada no diagnóstico diferencial de efusões (neoplásicas e infecciosas), em diversos sítios anatômicos. A citologia oncológica, embora não seja determinante, é uma análise inicial de grande valia na investigação de efusões patológicas.

Biópsia
Visão Microscópca

Exame de Biópsia

A biópsia é um exame que consiste na retirada de um fragmento de uma parte do corpo (biópsia incisional) ou mesmo de um órgão ou lesão como um todo (biópsia excisional). Na maioria das vezes, quando usamos o termo “biópsia”, estamos nos referindo a biópsia incisional. A biópsia não é feita apenas para investigação de câncer, mas também pode ser usada em outras situações como, por exemplo, durante a endoscopia com biópsia digestiva alta. Nesse procedimento muitas vezes é retirado um fragmento da mucosa do estômago para investigar se há gastrite e também é feita a pesquisa de uma bactéria causadora de gastrite, chamada Helicobacter Pylori. Com este resultado, o seu médico irá estabelecer o melhor tratamento medicamentoso para erradicar a bactéria que causa gastrite, se este for o seu caso.

Exame Imuno-histoquímica
Visão Microscópca

Exames de Imuno-histoquímica

Refere-se ao processo de localizar antígenos (e.g. proteínas) em tecidos, explorando o princípio da ligação específica de anticorpos a antígenos no tecido biológico. A técnica imuno-histoquímica se baseia numa reação antígeno-anticorpo. Para identificação de uma proteína (antígeno) específica, um determinado anticorpo reconhecerá um determinado antígeno. O anticorpo primário liga-se ao antígeno específico, que por sua vez é reconhecido por um anticorpo secundário ao qual se liga um complexo enzimático (complexo avidina-biotina-cromógeno) ou polímero com amplificação. A substância cromogênica, em geral a diaminobenzidina, confere à reação positiva uma coloração acastanhada.

Exame Biomoleculares
Visão Microscópca

Exames Biomoleculares

O uso dos exames biomoleculares na clínica tem revolucionado o diagnóstico. Os testes biomoleculares têm sido utilizados como uma das maneiras de se mapear doenças de natureza genética, tal como o câncer; na triagem pré-natal ou Teste Pré-Natal Não Invasivo (NIPT) que detecta, além do sexo do bebê, possíveis alterações cromossômicas e as trissomias mais comuns nos bebês. Outra aplicação é no diagnóstico e prognóstico de doenças infecciosas e mais recentemente na medicina de precisão, fruto da análise individualizada e que vem contribuindo para tratamentos personalizados e mais eficazes para diversas patologias.

Análises Clínicas
Análises Clínicas

Análises Clínicas

As análises clínicas são um conjunto de exames com a finalidade de verificar o estado de saúde de um paciente ou investigar doenças, como os chamados exames de rotina, check-ups, dentre outros. A análise é feita através do estudo de material biológico colhido do paciente, como por exemplo, sangue, urina, saliva, fezes, esperma, fragmentos de tecido, líquido sinovial, pleural, líquido cefalorraquidiano, pus, etc.

Entre em Contato

Fale com um dos
nossos profissionais

Dr Lacio

Ao utilizar nosso website, você concorda com o uso de cookies conforme a LEI DE PROTEÇÃO DE DADOS.